
| Largest Gall Bladder removed through SINGLE HOLE Surgery |
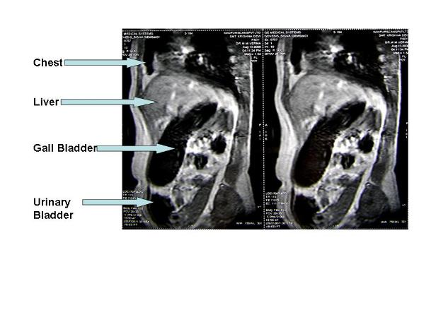
| CT Scan |






| Gall Bladder after surgery Its size is equal to almost whole of abdomen |

| Please Visit |
| Patient with Gall Bladder and Stones in a Jar after discharge from hospital |
